1本か数本あるいは、すべての歯を失った場合にも、
デンタルインプラントは新しい歯を得るための永久的な方法です。 |
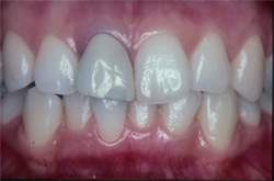
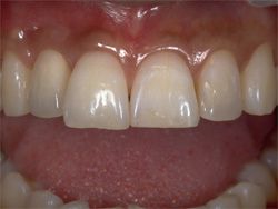
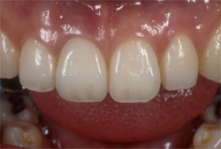
| 失った部分にインプラントを1本埋入します。従来は健全な両隣の歯を削ってブリッジを用いて治療していましたが、インプラントを用いると健全な歯を削ることなく治療を行うことが出来ます。 |
 |
| インプラントの上のクラウンにより、あなたの咀嚼機能と自然な風貌が回復するでしょう。 |
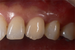
| 従来は局部的な入れ歯を用いて治療を行っていましたが、インプラントを何本か用いて治療を行います。入れ歯を固定するための金属のバネによる違和感がなくなります。 |
 |
| 数本のインプラントにより支えられるブリッジかクラウンにより、機能と顔立ちが回復するでしょう。 |
| 従来の総入れ歯ではなくインプラントを用いて治療します。この方法なら食物が入れ歯と歯ぐきの間にはさまったり、入れ歯が合わなくなるようなことはありません。 |
 |
| 5本あるいはそれ以上のインプラントにより、フルブリッジを固定します。 |
|
 |
| インプラント用の義歯を2本あるいは、それ以上のインプラントとアタッチメントにより接続します。 |
| オーバーデンチャー ※インプラントと義歯のコンビネーション |

ボールアバットメント |
 |
 |
 |
| All on 6 (All on 4 ) ※無歯顎をインプラントブリッジ固定式で回復 |
 |