千代田区 歯科:一般歯科 小児歯科 予防歯科 歯周病 インプラント 審美歯科 矯正歯科
永田町歯科
各種保険取扱・初診・急患随時受付
ご予約・お問い合わせは 03-3581-9518 へどうぞ
NAGATACHO DENTAL CLINIC ■地図
HOME
診療所案内
一般歯科
インプラント治療
審美歯科
矯正歯科
予防歯科
歯周病
小児歯科

歯周病の治療例

歯周病の治療イメージ

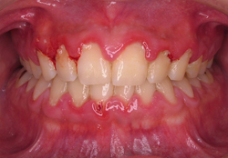
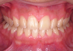
CASE1

20代前半 男性 若年性の歯周炎

歯肉の炎症が著明で、腫れ出血しているのがわかります。
徹底したプラークコントロールと初期治療により改善させた症例です。

歯周病症例 矢印 歯周病症例
治療前
治療後

CASE2

40代後半 女性 慢性歯周炎

大臼歯部が喪失し、前歯の支持骨も失い歯が前方移動及び挺出しているのがわかります(出っ歯)。
初期治療→歯周外科手術→簡単な矯正治療、大臼歯部をインプラントで回復→仮歯でかみ合わせを回復→残存歯牙の動揺を抑えるために各歯牙を連結固定をしました。

歯周病症例 矢印 歯周病症例
治療前
治療後

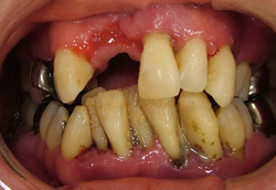
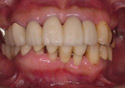
CASE3

50代前半 男性 慢性歯周炎

プラークコントロールの不良、歯肉が退縮し歯が長く見えまた骨が喪失しているので歯が変位しているのがわかります。
初期治療→歯周外科手術→簡単な矯正治療→歯牙の固定。

歯周病症例 矢印 歯周病症例
治療前
治療後

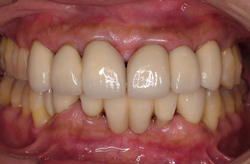
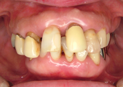
CASE4

40代前半 女性 侵襲性歯周炎(最もリスクのある疾患)

大量の歯石沈着、歯牙の変位、排膿及び動揺が著しかった。常識的には全て抜歯が最適応ですが、1本でも自身の歯を残すことを希望されたため徹底的な生活習慣及び衛生指導を行ったうえで治療に踏み切りました。
初期治療→保存不可な歯の抜歯→歯周外科手術/再生療法→矯正治療→仮歯にて咬合支持→下顎前歯部のインプラント埋入→現在最終仮歯の状態→(最終修復物セラミックにて回復予定)
歯肉の引き締まり具合を注目してください。

歯周病症例 矢印 歯周病症例
治療前
最終補綴前の仮歯の状態

診療時間 (日・祝日休診)
10:00 〜 13:00
14:00 〜 18:00×
各種保険取扱・新患・急患随時受け付け! ご予約は 03-3581-9518 にて

〒100-0014東京都千代田区永田町2-10-2 TBRビル814(MAP
Copyright© 永田町歯科 03-3581-9518