千代田区 歯科:一般歯科 小児歯科 予防歯科 歯周病 インプラント 審美歯科 矯正歯科
永田町歯科
各種保険取扱・初診・急患随時受付
ご予約・お問い合わせは 03-3581-9518 へどうぞ
NAGATACHO DENTAL CLINIC ■地図
HOME
診療所案内
一般歯科
インプラント治療
審美歯科
矯正歯科
予防歯科
歯周病
小児歯科

ラミネート・セラミックス

ラミネートベニア

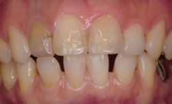
審美歯科症例 矢印 審美歯科症例
治療前
治療後

歯の表面に"付け爪"をつけるような方法です。
歯の表面のエナメル質を約0.5ミリ前後程削り、薄い人口素材を貼りつける方法です。自由に色を変えられ、ある程度歯の形も修正できるので、歯の色・形、少しぐらいの歯の隙間を無くすのには最適な方法と言えるでしょう。
使用される素材は、色調や透明度に優れたキャスタブルセラミックスや、お口の中で直接歯をコーティングし、形を仕上げるダイレクトボンディングシステムがあります。
詳しく解説すると以下のようになります。
ポーセレン・ラミネートベニア
使用材料はポーセレン(セラミックス・陶材)です。セラミックスで出来た歯の付け爪をイメージすれば分かりやすいでしょう。ハリウッドスターが前歯の審美性を高めるために、薄い付け歯をしたのが始まりだと言われています。
特徴:色の審美性はもちろんのこと、歯の軽いねじれ、欠け、歯と歯の隙間の改善に有効です。
ダイレクトボンディングシステム
通常歯を薄く削った後に、歯型を取り模型にして模型上で作り上げていくのですが、ダイレクトボンディングシステムは、直接お口の中でハイブリット・セラミックス(合成樹脂系素材)を塗りつけ形を作っていく方法です。直接お口に盛りつけて仕上げるので微調整が難しいという欠点はありますが、時間的に余裕のない方は適応です。

インレー(部分被覆冠) 素材:金属/ハイブリット/セラミックス

審美歯科症例 矢印 審美歯科症例
治療前
治療後

通常健康保険内では虫歯を削った後には金属の詰め物を入れますが、より自然の歯に近い光沢や色調のものにするためにエステニアとセラミックスの材料に置き換える事で、審美性・封鎖性・生体親和性を向上させることが可能です。
審美に使用される素材は以下のようになります。
ハイブリットセラミックス(強化型レジン/合成樹脂)
セラミックスと名がついていますが、陶材ではなく臼歯部の噛む力にも耐えられるように改良された最新型の合成樹脂系素材を言います。機械的強度・摩耗性の向上により粘り強さがあり、セラミックスよりも割れにくい素材でありながら、セラミックスに近い表面滑沢性と色調再現が可能となりました。
審美性だけでなく、この素材は歯と一体化するように接着させる為に辺縁封鎖性に優れ、健康保険で使われる金属に比べ金属イオンの流出が無く生体にやさしいという特徴があります。
金属アレルギーのあるかたには非常に有効です。
セラミックスインレー
歯の色・ツヤに非常に近いために、見た目も修復した歯とは分からないくらいの自然感があり審美性も抜群に優れています。耐久性・耐摩耗性に非常に優れている素材で変色する心配もありません。アレルギーの心配もありません。

メタルボンドポーセレン

名前のとうりで、メタル(金属)で出来たクラウン(冠)に陶材(ポーセレン)を焼き付けて作りあげます。前歯にも臼歯にも応用が可能で、歯に直接かぶせる部分には金属で裏打ちし強度を確保し、表面にポーセレンを盛りつけて焼き付けをする事で、審美及び噛む力に対応できるようになっています。
強度・耐久性・審美性を兼ね備えていますからブリッジ、フルブリッジ、歯並びの部分修復など多くの症例に応用が効きます

オールセラミックスクラウン

金属を使わずにセラミックスだけで作るクラウン(冠)です。セラミックス素材で最も天然歯エナメル質に近い色調と強度を再現する事が可能となりました。
(現在の素材は)従来のセラミックス素材に比べ、強度および化学的安定性が高く、耐久性に優れています。噛む力の高い臼歯部にも適用できます。
特徴1.エナメル質に近いので表面が滑沢で、透明感と輝きが抜群で舌感も良い。
特徴2.粘り強さは普通のポーセレンの約2倍あり、従来のフルセラミック補綴物より破折しにくくなっています。
特徴3.物性が天然歯エナメル質にきわめて近く、対合天然歯を磨耗しません。噛み合わせの調整も容易に行えます。
特徴4.金属を使わないので、ブラックラインの心配もありません。
特徴5.精度が高く適合が良い。
特徴6.生体親和性に優れ、生物学的安全性が高い材料です。 金属アレルギーの患者にも安心して使えます。 歯肉が着色せず、お口の内が明るく健康的になります。 味覚を損ないません。

素材

当院の取り扱い修復材料と商品名

金属銀歯(保険)、ゴールド(14K〜18K)
ハイブリットセラミックスエステニア、グラディアフォルテ、シンフォニー
セラミックス(ポーセレン前装冠)メタルボンド、AGCガルバノ、
セラミックス(オールセラミックス)エンプレス、エンプレス2、OPC、プロセラ、GN-1
セラミックス(ジルコニア系)プロセラ、エベレスト、ラーバ、アドバ

あくまで見本です。素材の決定は、患者様のご希望とその適応を診断したうえで決定いたします。
色調の再現は、各素材の特徴を生かして個人の色に合わせていきます。

保険の素材
保険の素材
セラミック・インレー
セラミック・インレー
ハイブリッド・インレー
ハイブリッド・インレー
14Kゴールド・インレー
14Kゴールド・インレー
ガルバノ・セラミックス
ガルバノ・セラミックス
メタルボンド・セラミックス
メタルボンド・セラミックス
ジルコニア・セラミックス
ジルコニア・セラミックス
ラミネートベニア
ラミネートベニア
ボーセレン・ラミネートベニア
ボーセレン・ラミネートベニア
EmpessU
EmpessU
ハイブリット前装冠
ハイブリット前装冠
オールセラミックス(キャスタブルセラミックス)
オールセラミックス
(キャスタブルセラミックス)
オールセラミックス(キャスタブルセラミックス)
オールセラミックス
(キャスタブルセラミックス)

診療時間 (日・祝日休診)
10:00 〜 13:00
14:00 〜 18:00×
各種保険取扱・新患・急患随時受け付け! ご予約は 03-3581-9518 にて

〒100-0014東京都千代田区永田町2-10-2 TBRビル814(MAP
Copyright© 永田町歯科 03-3581-9518