千代田区 歯科:一般歯科 小児歯科 予防歯科 歯周病 インプラント 審美歯科 矯正歯科
永田町歯科
各種保険取扱・初診・急患随時受付
ご予約・お問い合わせは 03-3581-9518 へどうぞ
NAGATACHO DENTAL CLINIC ■地図
HOME
診療所案内
一般歯科
インプラント治療
審美歯科
矯正歯科
予防歯科
歯周病
小児歯科

審美歯科とは

当院の審美歯科に対する考え方

お口の健康は咀嚼機能や発音に影響を及ぼし、それに伴い全身の健康管理や社会生活に支障が出るものです。当院の画期的な審美治療は歯の健康をとりもどすだけでなく、将来のリスクを少なくしかつ審美障害で悩まれる患者様を心身ともに満足を求めるためのものです。
審美とはその人の感性により異なりますが、患者様の思いを写真や仮歯を使って具現化していき顔貌と口唇、歯肉、歯の調和一体感を作ってゆきます。


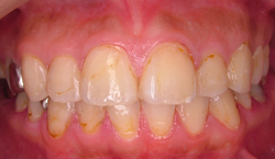
症例 1

審美的評価を駆使し、ラミネートベニアとオールセラミックスのコンビネーションで仕上げました。
審美歯科症例 矢印 審美歯科症例

審美歯科症例 矢印 審美歯科症例
治療前
治療後

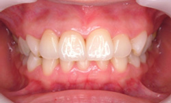
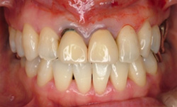
症例 2

口もとの改善を希望。
本人の希望に合わせた歯の見え方、口唇と歯列ののバランスを再現。
審美歯科症例 矢印 審美歯科症例

審美歯科症例 矢印 審美歯科症例
治療前
治療後

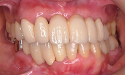
症例 3

歯(根)の変色が著しく通常のセラミック治療では隠すことができない。
ジルコニアセラミックという素材を使用し、内部の歯根の変色を隠し全体と調和するようにセラミックの表面性状と色調を合わせた。
審美歯科症例 矢印 審美歯科症例

審美歯科症例 矢印 審美歯科症例
治療前
治療後

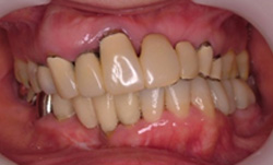
症例 4

前歯部が全周にわたり虫歯が存在し、特に歯と歯の間の部分や、裏側に著名であった。
部分的に虫歯を取っていくと、つぎはぎだらけの歯になりまた審美的にも強度的にも問題が生じやすいので全周被覆するタイプ(セラミック冠)で修復した。
審美歯科症例 矢印 審美歯科症例
治療前
治療後
審美歯科症例 矢印 審美歯科症例


最終補綴物


最終補綴物


最終補綴物

診療時間 (日・祝日休診)
10:00 〜 13:00
14:00 〜 18:00×
各種保険取扱・新患・急患随時受け付け! ご予約は 03-3581-9518 にて

〒100-0014東京都千代田区永田町2-10-2 TBRビル814(MAP
Copyright© 永田町歯科 03-3581-9518